Zahnimplantate in Wuppertal
– feste Zähne wie früher

Was ist ein Zahnimplantat?
So läuft eine moderne
3D Implantation ab
Hier sehen Sie den Ablauf – von der ersten Beratung bis zur fertigen Krone: kurz, klar und Schritt für Schritt erklärt.
Kostenlose Erstberatung –Klarheit in 15 Minuten

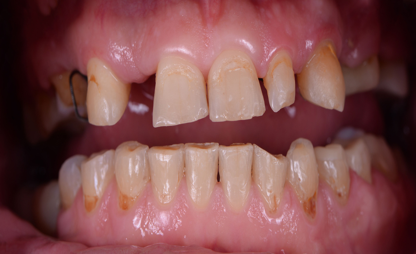
Moderne Zahnartpraxis
Ergebnisse, die für sich sprechen
Preise für Zahnimplantate
So setzen sich die Kosten zusammen
Schriftlicher Kostenplan
Transparente Abrechnung
Zahlung & Ratenzahlung
Erstberatung
Wir nehmen uns Zeit und klären alle Fragen
- Ihr Anliegen und Wünsche
- Sichtung vorhandener Unterlagen/Röntgenbilder
- Grober Ablauf und Kostenrahmen
- Klärung der nächsten Schritte
3D Röntgen (DVT) + Analyse
3D-Röntgen und ärztliche Auswertung als Grundlage der Planung
- DVT-Aufnahme (3D-Röntgen) des betroffenen Bereichs
- Auswertung durch den Zahnarzt – mit zusätzlichem KI-Check als „zweitem Blick“
- Besprechung des Implantatplans mit Risiken, Alternativen und zeitlichem Ablauf
Der Nutzen und die Notwendigkeit werden vorab erklärt; Strahlenschutz wird beachtet.
Zahnimplantation
Der Eingriff selbst – alles Wichtige ist an Bord
Enthalten:
- Lokale Betäubung
- Steriles OP-Setting
- Einbringen des Implantats
- Röntgenkontrolle
- Naht
- Bohrschablone
- spezielle Materialien
- Nachkontrollen
Nicht enthalten:
- Zahnersatz (Krone/Brücke/Prothese), Knochenaufbau/Sinuslift
Die ausgewiesenen Kosten beziehen sich auf den chirurgischen Teil je Implantat. Prothetische Leistungen werden gesondert kalkuliert.
Freilegung des Implantats
Der kleine Schritt nach der Einheilung
-
Lokale Betäubung
-
Schonende Freilegung (kleiner Schnitt oder Punch)
-
Setzen des Heilungsaufsatzes (Gingivaformer)
-
Naht, falls erforderlich
-
Kontrolle des Weichgewebes in den Folgeterminen
Zahnersatz auf Implantat
Abschluss für Funktion und Ästhetik
-
Digitaler Scan oder Abdruck
-
Individuelles Abutment (Aufbau)
-
Keramikkrone oder Brücke, Einprobe & Eingliederung
-
Biss-Feinschliff, Pflege- und Reinigungsempfehlungen, Recall
Wichtige Hinweise zu Preisen, Erstattung und Zeitangaben
Abrechnung nach GOZ/GOÄ
Unsere Leistungen werden nach der Gebührenordnung für Zahnärzte (GOZ), ggf. einzelnen Positionen nach GOÄ, abgerechnet. Der individuelle Steigerungssatz richtet sich nach Aufwand und Befund und wird vorab erläutert.
Preisangaben = Richtwerte
Genannte Preise und Behandlungszeiten sind Orientierungswerte. Der verbindliche Kostenplan ergibt sich aus Ihrem Befund und wird vor Behandlungsbeginn schriftlich besprochen und bestätigt.
Leistungsumfang je Schritt
Beim chirurgischen Eingriff ist der Zahnersatz (Krone/Brücke/Prothese) nicht enthalten. Mögliche Zusatzleistungen wie Knochenaufbau, Membranen/Materialien, chirurgische Schablone, Medikamente oder provisorischer Zahnersatz werden nur nach Aufklärung und Einwilligung durchgeführt und separat ausgewiesen.
Erstattung durch Krankenkassen/Versicherungen
-
GKV (gesetzlich): Festzuschüsse für Zahnersatz werden – sofern Anspruch besteht – berücksichtigt. Mögliche Eigenanteile bleiben beim Patienten.
-
PKV/Beihilfe: Die Erstattung hängt von Ihrem Tarif/Beihilfesatz ab; Differenzen zwischen Rechnung und Erstattung trägt der Patient. Auf Wunsch erhalten Sie eine detaillierte Rechnung für die Einreichung.
Finanzierung / Ratenzahlung
Eine Ratenzahlung ist über unseren Finanzierungspartner möglich; bonitätsabhängig. Beispiel nennen wir transparent mit Laufzeit und effektivem Jahreszins (z. B. Gesamtbetrag … €, … Monate, eff. Jahreszins … %). Kreditgeber und Vertragsbedingungen werden vor Unterschrift offengelegt.
Umsatzsteuer
Medizinisch notwendige Leistungen sind in der Regel umsatzsteuerfrei. Rein ästhetische Leistungen können zzgl. USt. anfallen – wir informieren vorab.
Zeitangaben & Heilung
OP-Dauer, Einheilzeiten und Anzahl der Termine sind Richtwerte und können z. B. durch Knochenangebot, Allgemeinerkrankungen, Rauchverhalten oder Medikamente variieren.
Sicherheit & Alternativen
Vor jedem Eingriff klären wir Befunde, Risiken, Alternativen (z. B. Brücke/Prothese) sowie Verhaltensregeln vor/nach der OP. Eine bestimmte Erfolgswahrscheinlichkeit kann medizinisch nicht garantiert werden.
DVT/3D-Röntgen
Eine DVT-Aufnahme erfolgt nur bei gegebener Indikation und unter Beachtung des Strahlenschutzes. Bilder/Daten stellen wir Ihnen auf Wunsch zur Verfügung.
Kostenplan – Gültigkeit
Der Heil- und Kostenplan gilt für den vereinbarten Umfang. Medizinisch notwendige Anpassungen erfolgen nur nach vorheriger Rücksprache.
Rechnung & Unterlagen
Sie erhalten eine nachvollziehbare Rechnung (Leistungen, Labor, Material). Auf Wunsch stellen wir Unterlagen für Versicherung/Steuer bereit.
Häufig
gestellte Fragen
Tut eine Implantation weh?
In der Regel nicht: Der Eingriff findet unter örtlicher Betäubung statt; Sie spüren vor allem Druck/Vibration. Sedierung ist bei Bedarf möglich – wir besprechen das individuell
Wie lange dauert die Einheilung – und wann bekomme ich die Krone?
Häufig 6–12 Wochen Einheilung bis zur Freilegung; danach Scan/Abformung und Eingliederung in 1–3 Terminen. Bei Knochenaufbau kann es länger dauern
Was zahlt meine Krankenkasse?
Gesetzliche Kassen übernehmen die Implantat-OP nicht, zahlen aber einen Festzuschuss für den Zahnersatz nach Regelversorgung (Höhe abhängig vom Bonusheft)
Wie lange halten Zahnimplantate?
Bei guter Pflege und regelmäßiger Prophylaxe können Implantate viele Jahre funktionieren. Wichtig sind Mundhygiene, 2× jährliche Kontrollen und das Vermeiden von Risikofaktoren (z. B. Rauchen, unbehandelte Parodontitis).
Was, wenn zu wenig Knochen da ist?
Dann sind Knochenaufbau oder ein Sinuslift mögliche Lösungen; wir erklären Nutzen, Ablauf und Mehrkosten vorab. Grundlage ist eine 3D-Diagnostik (DVT) und Ihr individueller Befund.
Kontakt & Anfahrt
Zweitmeinung

















